¿Qué es una fractura?
Es la ruptura total o parcial de un hueso por diversas causas; lo más común es que se deba a un accidente, una caída fuerte o una lesión deportiva. La fractura provoca un dolor intenso y dependiendo de la gravedad puede necesitar cirugía para recomponer el hueso.

Tipos

Existen distintas formas de clasificar las roturas de los huesos. Dependiendo del tipo de daño, se clasifican de la siguiente manera:

●  Fractura completa: El hueso se rompe en dos partes.

●  Fractura en tallo verde: El hueso se rompe pero no se separa en dos partes. Es típica de los niños.

●  Fractura simple: El hueso se quiebra por una parte.

●  Fractura conminuta: El hueso se quiebra en más de una parte o se astilla.

●  Fractura abierta: El hueso sobresale a través de la piel.

●  Fractura cerrada: Hay rotura pero no sobresale el hueso por la piel.



¿Cuáles son los síntomas?
●  Deformación de la zona.

●  Hinchazón, hematoma o sangrado en la zona afectada.

●  Entumecimiento y hormigueo.

●  Movimiento limitado o incapacitado.

●  Fiebre: en algún caso que aparece hematoma o sobreinfección.

Fracturas por estrés

Son las que se dan al ejercer presión de forma repetitiva en los huesos. Se pueden distinguir dos tipos:

●  Fracturas por debilidad: por haber algún tipo de deficiencia ósea que debilite los huesos, como la osteoporosis.

●  Fracturas por fatiga: a causa de una actividad exagerada y repetitiva. Es frecuente en los deportistas o en aquellas personas que realizan actividades físicas de manera frecuente.



Tratamiento
Es importante que la persona que ha sufrido una fractura realice la menor cantidad de movimiento posible, ya que puede causar más dolor o complicaciones. Se debe esperar a que lleguen profesionales médicos que sepan cómo actuar. En caso de que se trate de una fractura abierta, es necesario intervenir rápidamente para evitar que se infecte.

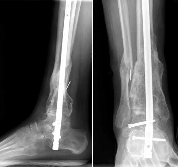
El médico que intervenga al paciente realizará una radiografía para identificar la posición del hueso fracturado. Es importante conocer la causa de la fractura, pues ayuda al médico a identificar los huesos dañados y cómo tratarlos. Una vez identificada, se recolocará el hueso en su posición original. Si el hueso es muy largo o se ha fracturado en más de dos partes, es posible que el médico realice una cirugía e introduzca un clavo de metal para consolidarlo. Este clavo será quitado una vez el hueso haya sanado.

Si no hay necesidad de insertar un clavo, el hueso se recompondrá de forma natural. Los huesos comenzarán a producir células y vasos sanguíneos que irán cerrando las partes fracturadas del hueso hasta recuperar su forma original. También se pueden utilizar injertos óseos para acelerar la cicatrización que producen estas células.

Cuando los huesos se han desplazado en gran medida más allá de su posición original, se lleva a cabo una osteosíntesis, es decir, una cirugía para recolocar los huesos. Esto se hace mediante placas, tornillos, agujas o cerclajes con alambres.

Una vez recolocado el hueso, el médico aplica una escayola sobre la parte afectada y no la retirará hasta que el hueso se haya soldado, proceso que puede tardar de una o varias semanas dependiendo de la gravedad de la fractura.



Prevención
Mantener los huesos fuertes puede evitar una fractura. Para ello es imprescindible realizar ejercicio de manera habitual, especialmente aquellos que impliquen saltar o correr. La dieta también es importante; consumir calcio y vitamina D ayuda al desarrollo de los huesos y a su fortalecimiento.

También es importante utilizar la equipación adecuada al realizar ejercicio: casco, coderas o rodilleras pueden evitar que un hueso se rompa al caer o frente a un impacto fuerte.

Los niños corren más riesgo de sufrir una fractura al no tener los huesos completamente desarrollados, por lo que también es importante que estos se mantengan en un entorno seguro para evitar caídas que puedan tener consecuencias graves. Sin embargo, los niños tardan mucho menos tiempo en recuperarse de una fractura que un adulto.

De la misma forma, las personas mayores son más propensas a sufrir una fractura por la debilitación de sus huesos con el paso de los años. Otras acciones como fumar o consumir alcohol también pueden afectar a la densidad de los huesos y facilitar su fractura.




 
© DERECHOS RESERVADOS 2022 CLINICA INTEGRAL DEL BIENESTAR   «Aviso de Privacidad»